NEW MRD MEDICARE COVERAGE FOR SELECT INDICATIONS /// LEARN MORE NEW MRD MEDICARE COVERAGE FOR SELECT INDICATIONS /// LEARN MORE

DIGITAL PATHOLOGY

AI solutions to inform testing decisions for cancer patients early in their journey
Contact us

Tempus increases efficiency and patient impact for anatomic and clinical pathologists

  • Maximized diagnostic yield with minimal tissue usage

    Leveraging H&E images, our Paige Predict model forecasts TNA yield to pinpoint samples at risk of NGS failure, while p-MSI predicts potential MSI-H status in people with prostate cancer, helping clinicians identify specimens more likely to benefit from MSI testing.

  • Enhanced patient care through AI-driven insights

    Tempus provides comprehensive molecular insights with services like xR RNA sequencing and AI-powered testing such as Tempus Tumor Origin, which predicts primary diagnosis.

  • Streamlined pathology workflow with digital integration

    Tempus provides comprehensive slide digitization services that streamline pathology workflows, allowing clinicians to effortlessly integrate and access high-quality scanned images without the need for in-house digital conversion.

  • image description

    Case Study

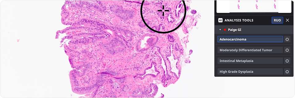
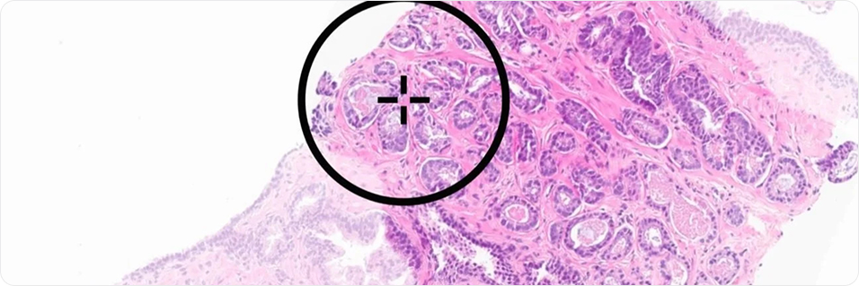
    Maximizing Precision in Pathology with AI. The Paige Predict model utilizes H&E images to forecast tissue nucleic acid (TNA) yield, identifying samples at risk of NGS failure1 or those that may need fewer slides for extraction2.

    READ MORE
  • image description

    Case Study

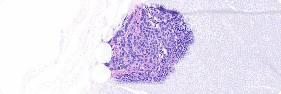
    Identifying MSI-High in Prostate Cancer Using AI-Powered Digital Pathology. p-MSI predicts potential MSI-H status in people with prostate cancer, helping clinicians identify specimens more likely to benefit from MSI testing.

    READ MORE
  • image description

    Blog

    Nike Baubier: Using an AI algorithm to predict possible MSI high status in prostate cancer patients from digital pathology images.

    READ MORE
  1. Paige Predict is not validated for clinical use and is available for research use only.
  2. Osinski, B. L., BenTaieb, A., Ho, I., Jones, R. D., Joshi, R. P., Westley, A., Carlson, M., Willis, C., Schleicher, L., Mahon, B. M., & Stumpe, M. C. (2022). AI-augmented histopathologic review using image analysis to optimize DNA yield and tumor purity from FFPE slides. arXiv:2203.13948v2 [cs.CV]. https://doi.org/10.48550/arXiv.2203.13948

Tempus central digitization can enable clinicians to create and access scanned images without having to go digital themselves.

As part of the standard testing workflow for tissue-based assays, Tempus scans H&E-stained FFPE slides using one of two separate scanners; the Leica GT450 or the Philips UFS. All slides are scanned at 40x zoom, and files are stored as .svs or .tif files.

Our impact in oncology

  • 1.2M+

    digital whole slide images

  • 400+

    petabytes of data

  • ~65%

    of all Academic Medical Centers in the US are connected to Tempus

  • 7.5K+

    oncologists rely on Tempus as their precision medicine partner

image description

FEATURED NEWS

Tempus announces the acquisition of Paige

View press release

Our Science

view all publications
  • UPCOMING WEBINAR:

    Development and validation of a deep learning-based microsatellite instability predictor from prostate cancer whole-slide images

    An AI model effectively predicts MSI-H status from H&E-stained prostate cancer slides, potentially streamlining immunotherapy eligibility assessment and Lynch syndrome testing

    Read abstract
  • UPCOMING WEBINAR:

    Use of a deep learning model on H&E slides to predict nucleic acid yield for NGS testing

    A deep learning model predicts the TNA yield from H&E slides for NGS testing, potentially reducing assay failures and optimizing sample selection for targeted therapies

    Read abstract
  • UPCOMING WEBINAR:

    H&E-Based Deep Learning Model Predicts Immune Phenotypes in NSCLC

    A deep learning model accurately identifies tumor-infiltrating lymphocytes (TILs) in non-small cell lung cancer from H&E slides, matching pathologist performance in distinguishing inflamed from non-inflamed immune phenotypes

    Read abstract
  • UPCOMING WEBINAR:

    Deep Learning Identifies FGFR Alterations from H&E Whole Slide Images in Bladder Cancer

    A deep learning model trained on H&E slides predicts FGFR alterations in bladder cancer, potentially streamlining patient selection for targeted therapy NGS screening

    Read abstract
  • UPCOMING WEBINAR:

    Imaging-based histological features are predictive of MET alterations in Non-Small Cell Lung Cancer

    MET is a proto-oncogene whose somatic activation in non-small cell lung cancer leads to increased cell growth and tumor progression

    Read abstract
  • UPCOMING WEBINAR:

    2022 United States and Canadian Academy of Pathology (USCAP) Abstract

    Deep Learning Identifies Microsatellite Instability in H&E Whole Slide Images from Prostate, Esophageal, and Gastric Cancers and Generalizes across Cancer Types

    Read abstract
  • UPCOMING WEBINAR:

    2022 United States and Canadian Academy of Pathology (USCAP) Abstract

    Effects of Color Calibration via ICC Profile on Inter-scanner Generalization of AI Models

    Read abstract
  • UPCOMING WEBINAR:

    AI-augmented histopathologic review using image analysis to optimize DNA yield and tumor purity from FFPE slides

    AI-augmented histopathologic review using SmartPath could decrease tissue waste, sequencing time, and laboratory costs by optimizing DNA yields and tumor purity

    Read abstract
  • UPCOMING WEBINAR:

    Medical Image Computing and Computer Assisted Intervention – MICCAI 2021

    Deep Orthogonal Fusion: Multimodal Prognostic Biomarker Discovery Integrating Radiology, Pathology, Genomic, and Clinical Data

    Read abstract

Partnering with Tempus is investing in the future.

We believe that AI solutions can open the door to more treatment options for patients by identifying actionable markers leading to potential novel therapies and clinical trials.